近日,我院关节运动科在主任陈志伟的带领下成功实施湖南省第一例Coonrad/Morrey人工肘关节置换术,填补了医院的技术空白,为医院的高质量发展打下良好基础。

家住衡阳市的赵阿姨近一年来有一个巨大的困扰,左肘关节疼痛 ,无法活动。一年前,她因外伤致左肘关节骨折,骨折移位明显,需及时行手术治疗,但当时赵阿姨却选择了保守治疗,这一错误的决定导致了骨折畸形愈合同时造成了创伤性关节炎。肘关节的持续疼痛和僵硬让赵阿姨无法端碗吃饭,无法洗漱梳头,时刻影响着她的日常生活,让她寝食难安。本该是享受生活的年龄,赵阿姨却经常愁容满面。为此,她和家人四处求医问药,效果却不尽如人意。听说南华大学附属第一医院关节运动科可以治疗肘关节损伤,赵阿姨和家人抱着希望来到我院的骨科门诊求医。
骨科主任陈志伟接诊了赵阿姨并仔细查看其X片发现:左肘关节皮质不连续,伴随明显骨质增生影、关节间隙严重变窄。诊断为:左肱骨外髁陈旧性骨折并肘关节创伤性关节炎。考虑到赵阿姨关节膨大畸形伴僵硬,屈伸活动仅10°左右,且伴有局部长期疼痛,甚至严重影响睡眠质量,经保守治疗效果不佳,建议赵阿姨住院进行手术治疗。

患者术前影像学检查资料
赵阿姨入院后,陈志伟主任团队针对赵阿姨的问题,根据以往关节置换经验,查阅大量文献资料,进行多次讨论,最终指定出手术方案——人工肘关节置换。陈志伟介绍,肘关节外伤后遗留的创伤性关节炎是导致患者肘关节残疾的主要原因之一,对患者的心理压力极大,严重影响患者的生活与工作。相对于其它人工关节置换手术,肘关节置换术是目前开展相对较少的手术,手术技术要求较高,主要表现在:肘关节具有屈伸和旋转活动,术后对假体活动和稳定性的控制存在巨大挑战;肘关节在长期使用中,容易导致假体松动、断裂和磨损,对手术医师的操作准确性与熟练度要求非常高,并且对软组织平衡及假体的匹配要求非常精准。特别是在“截骨”环节上,角度与数量的细微偏差都将使得人工关节无法安装,给患者造成不可逆的肢体损伤甚至残疾。
人工肘关节置换手术是指用人工肘关节代替损坏的肘关节。人工肘关节假体一部分固定在上臂的肱骨中,另一部分则固定在前臂的尺骨中,两部分以轴承连接,完成人工肘关节屈曲功能。该手术的目的主要是为了减轻患者疼痛、恢复肘关节功能以满足正常生活的需要。人工肘关节置换在我国经过了好几代的改进,Coonrad/Morrey的假体已有30余年的历史,经历了多次的迭代和发展,假体设计结合肘关节的生物力学不断改进,提高患者满意率。陈志伟还说:“运用Coonrad/Morrey最新的假体实施手术,肘关节截骨量少,可尽量保留患者的骨质,对原本的骨质破坏少,假体寿命更长、功能更好,患者康复更快,同时也为远期的肘关节翻修保留了机会。”

肘关节假体示意图
为了手术顺利进行,陈志伟主任团队发挥数字骨科团队的优势,利用3D打印技术打印出赵阿姨肘关节的模型,术前规划手术入路,截骨范围及假体按照位置,缩短手术时间,减少手术出血量,从而减少手术并发症,促进患者快速康复。

三维3D打印
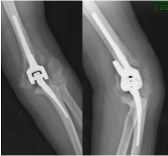
手术如期而至,赵阿姨既忐忑又期待,心中有着远离家人求医的紧张不安、对手术的恐惧,还有对新生活的无限期待。护理团队在术前对赵阿姨给予了更多的关注,理解她的焦虑情绪,进行着心理的安抚和护理,详细的术前术后康复知识的宣教,让阿姨了解了手术的康复过程,在很大程度上缓解了阿姨的不安。在与手术室、麻醉科等紧密配合下,赵阿姨在全麻下行“左侧肘关节置换术”。手术十分顺利地完成了,生命体征及各项指标都正常,整个围术期也进行了科学镇痛处理。术后影像资料显示:人工肘关节假体位置满意。

术后复查X线报告
第二天查房,赵阿姨非常高兴,诉说自己感觉良好,肘部切口的疼痛并不剧烈,手指活动良好,没有麻木不适感,肘关节已经可以自行屈伸活动。赵阿姨重获新生一般,激动地和医生、护士们分享她的喜悦。这一年来,左肘关节的疼痛和活动受限,让她失去了很多快乐,而如今她可以逐渐恢复活动度,极大减轻了疼痛,让她觉得一切都充满希望!
一项新技术的开展往往具有复杂、多面的未知性,为确保手术成功,我院关节运动科医护人员反复多次学习手术流程及术后并发症的预防,护理人员也积极学习针对性的护理措施。如何减轻手术前后患肢的肿胀?如何指导患者行患肢功能锻炼?经过大家多次讨论、分析、总结,首例Coonrad/Morrey肘关节置换术成功实施。此项手术的成功,标志着我院关节运动科诊疗技术水平迈上一个新的台阶,也为更多需要类似治疗的患者带来了福音。至此,我院关节运动科实现了肩+肘+髋+膝关节置换和关节镜手术的全覆盖。同时也标志着湖南省骨关节置换技术迈上了一个更高的台阶。

关节运动科医务人员合影
来源:附属第一医院官网 https://www.nhfyyy.com/dzb/zixun/yaowen/detail/2665.html